銀歯は今は使われてない?残っている銀歯は変えなくてはだめ?取り替える見極め基準について

      2026/04/30

東京の根管治療専門外来、笠原デンタルオフィスで、「女性は虫歯や歯周病になりやすい」は本当?女性のための、自分を労る歯科治療について解説

東京都江戸川区小岩の笠原デンタルオフィスです。

「昔入れた銀歯がまだたくさんあるけれど、最近は銀歯を使わないって本当?」
「テレビやネットで銀歯のリスクを聞くけれど、今すぐ全部取り替えないとダメなの?」

そんな疑問や不安を抱えている方は非常に多くいらっしゃいます。

結論から申し上げますと、「今、銀歯が問題なく機能しており、お口の健康が保たれているのであれば、無理に今すぐすべてを取り替える必要はありません」。
しかし、歯科医学の進化とともに、かつて「当たり前」だった銀歯(金銀パラジウム合金)が抱える課題も明確になってきました。
今回は、銀歯の現状から、残しておくメリット、そして「取り替えるべきかどうかの見極め基準」について解説します。

 

銀歯は今、どうなっている?歯科業界の現状

東京の根管治療専門外来、笠原デンタルオフィスで、銀歯は今は使われてない?残っている銀歯は変えなくてはだめ?取り替える見極め基準について解説 東京の根管治療専門外来、笠原デンタルオフィスで、銀歯は今は使われてない?残っている銀歯は変えなくてはだめ?取り替える見極め基準について解説

「銀歯は今は使われていない」という噂を聞くことがありますが、正確には「第一選択肢ではなくなりつつある」というのが正解です。
かつて銀歯が主流だったのは、強度があり、保険診療で安価に提供できたからです。
しかし、近年では以下の理由で銀歯を避ける傾向が強まっています。

材料価格の高騰
「金銀パラジウム合金」に含まれるパラジウムの価格が世界的に高騰し、保険制度上の課題となっています。

白い素材の進化
以前は強度が弱かった「白い被せ物(CAD/CAM冠など)」が保険適用になり、金属を使わなくても一定以上の強度が確保できるようになりました。

メタルフリー治療の浸透
金属アレルギーへの配慮から、世界的には「お口の中に金属を入れない」治療が標準となりつつあります。

 

銀歯を「今すぐ変えなくていい」ケースと、そのメリット

ネットの情報を見ると「銀歯は毒だ」という極端な意見もありますが、冷静にメリットを見つめることも大切です。

 

銀歯を取り替えなくても良いケース

二次虫歯(再発)がなく、適合が良い
精密に作られた銀歯で、隙間がなく、周囲に虫歯の兆候がない場合。

噛み合わせが安定している
その銀歯があることで、上下の歯が理想的な位置で噛み合っている場合。

金属アレルギーの症状がない
全身に皮膚炎や体調不良などの兆候がない場合。

 

保険適用の白い歯(CAD/CAM冠)の理想と現実

東京の根管治療専門外来、笠原デンタルオフィスで、銀歯は今は使われてない?残っている銀歯は変えなくてはだめ?取り替える見極め基準について解説

近年、保険適用範囲が広がり、奥歯にも「CAD/CAM冠(キャドキャムカン)」と呼ばれる白い被せ物が選べるようになりました。
しかし、ここで注意が必要なのは、「白い=高性能」ではないという点です。

CAD/CAM冠は、ハイブリッドレジン(プラスチックにセラミックを混ぜたもの)で作られるため、強度がセラミックや金属に比べて劣ります。
また、時間が経つと表面が摩耗しやすく、吸水性があるため変色や臭いの原因になることもあります。

 

「銀歯の方がまだマシ」という意見も

噛み合わせの力が強い方や歯ぎしりがある方の場合、CAD/CAM冠は割れたり外れたりするリスクが高くなります。
そのため、多くの歯科医師の間では「中途半端に強度の低いCAD/CAM冠を入れるくらいなら、まだ耐久性と適合性に優れた銀歯(金銀パラジウム合金)の方が、歯の機能を守る上では合理的である」という意見も根強くあります。

 

本気で守るなら「セラミック・ジルコニア」

東京の根管治療専門外来、笠原デンタルオフィスで、銀歯は今は使われてない?残っている銀歯は変えなくてはだめ?取り替える見極め基準について解説

銀歯の機能性と、CAD/CAM冠を上回る美しさを両立させ、かつ「二次虫歯リスク」を最小限に抑えられるのは、やはり自由診療のセラミックやジルコニアに限られるのが現状です。

 

銀歯を「取り替えたほうが良い」ケースと、そのリスク

銀歯を維持するメリットもありますが、以下のサインが出ている場合は、放置すると「抜歯」へ直進するリスクがあります。

 

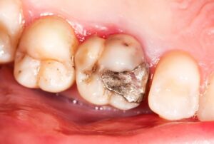
銀歯の「縁(ふち)」に段差や影がある(二次虫歯)

東京の根管治療専門外来、笠原デンタルオフィスで、銀歯は今は使われてない?残っている銀歯は変えなくてはだめ?取り替える見極め基準について解説

マイクロスコープで銀歯を拡大して見ると、歯との間にわずかな隙間や、黒い影が見えることがあります。
その場合は、銀歯を接着しているセメントが溶け出し、その隙間から細菌が侵入しています。
金属の下で進む虫歯はレントゲンに写りにくく、気づいた時には神経まで腐っている「手遅れ」の状態になりやすいのです。

 

歯茎の境目が黒ずんでいる(メタルタトゥー)

東京の根管治療専門外来、笠原デンタルオフィスで、銀歯は今は使われてない?残っている銀歯は変えなくてはだめ?取り替える見極め基準について解説

銀歯の金属成分がイオン化して歯茎に沈着している状態です。
見た目の問題だけでなく、金属が常に体内に溶け出し続けている証拠です。
これが蓄積されると、突然の金属アレルギー発症や、掌蹠膿疱症などの全身疾患を引き起こす引き金になることがあります。

 

表面に細かな傷や「摩耗」が激しい

長年の使用で銀歯がすり減り、穴が開いたり、噛み合わせの相手の歯を過剰に削り取ったりしている場合があります。
金属疲労による破損だけでなく、噛み合わせのバランスを崩し、顎関節症や他の健康な歯の破折を招く恐れがあります。

 

もし「アマルガム」が入っていたら?──過去の遺物と水銀リスク

東京の根管治療専門外来、笠原デンタルオフィスで、銀歯は今は使われてない?残っている銀歯は変えなくてはだめ?取り替える見極め基準について解説

奥歯に、どす黒く変色した、ザラザラした質感の詰め物はありませんか?それは「歯科用アマルガム」かもしれません。
アマルガムは、銀・錫・銅などの粉末を液体水銀で練り固めた合金です。
かつては安価で加工しやすいため多用されましたが、現在ではその毒性と環境負荷から、多くの先進国で使用が禁止・制限されています。

 

アマルガムが引き起こす「深刻な問題」

水銀蒸気の吸入
噛むたび、あるいは熱い飲み物を飲むたびに、微量の水銀蒸気がお口の中に放出され、肺や消化管から吸収されます。
これが慢性的な疲労、頭痛、不眠などの「原因不明の不調」に関与しているという指摘もあります。

強力な腐食と膨張
アマルガムは年月とともに腐食し、膨張します。
この膨張する力が、「健康な歯を内側から割り裂く(歯根破折)」原因になります。

 

除去には「特別な設備」が必須:当院の対策

東京の根管治療専門外来、笠原デンタルオフィスで、銀歯は今は使われてない?残っている銀歯は変えなくてはだめ?取り替える見極め基準について解説

アマルガムを取り除く際、ドリルで削ると大量の水銀蒸気が発生します。
笠原デンタルオフィスでは、アマルガム除去の際、「ラバーダム(お口を隔離するゴムシート)」を使用して飲み込みを完全に防ぎ、強力な口腔外バキュームで蒸気を吸引します。
これら専門的な対策なしにアマルガムを削ることは、患者様にとっても医療スタッフにとっても非常に危険です。

 

銀歯を取り換える際の「後悔しないための注意点」

銀歯を取り換えるということは、少なからず「歯を削る」工程が発生します。
そのリスクを上回るメリットを確実に得るためには、以下のポイントをクリアしている歯科医院を選ぶことが重要です。

 

「銀歯の下」にある二次虫歯を徹底的に除菌する

東京の根管治療専門外来、笠原デンタルオフィスで、銀歯は今は使われてない?残っている銀歯は変えなくてはだめ?取り替える見極め基準について解説

銀歯を外すと、その下が黒く汚染されていたり、虫歯が進行していたりすることがほとんどです。
ここで単に虫歯を削って型を採るだけでは不十分です。
目に見えない細菌が歯の深部に残っていると、せっかく高価なセラミックを被せても、数年後に中で虫歯が再発し、最悪の場合は抜歯になってしまいます。

解決策

マイクロスコープ(歯科用顕微鏡)を使用し、肉眼では見えない細かな汚染組織を100%取り除き、無菌化する処置が不可欠です。

 

「根管治療(歯の根の処置)」のやり直しが必要か見極める

東京の根管治療専門外来、笠原デンタルオフィスで、銀歯は今は使われてない?残っている銀歯は変えなくてはだめ?取り替える見極め基準について解説

銀歯の下の虫歯が神経まで達している場合、あるいは既に神経を抜いている歯の場合、根の先で炎症が起きていることが多々あります。
土台が腐っているのに、その上に高価な被せ物をしても「砂上の楼閣」です。

解決策

銀歯を外したタイミングで根の中の状態をCTやマイクロスコープで精密に診査し、必要であれば「精密根管治療」を併せて行うことが、その歯を一生持たせるための必須条件です。

 

「接着」という工程に命を懸けているか

東京の根管治療専門外来、笠原デンタルオフィスで、銀歯は今は使われてない?残っている銀歯は変えなくてはだめ?取り替える見極め基準について解説

金属(銀歯)は「合着(セメントの摩擦力で止める)」ですが、セラミックは「接着(化学的に歯と一体化させる)」という全く異なる技術を用います。
接着は非常に繊細で、「お口の中の湿気(唾液や吐息)」が少しでも混じると、接着力は激減します。
湿気が混じった状態で付けた白い歯は、隙間からすぐに細菌が入り込みます。

解決策

装着時に「ラバーダム(ゴムのシート)」を使用して患部を完全に隔離し、湿気を遮断した状態で接着作業を行っているかを確認してください。
これがセラミック治療の寿命を左右する最大の分岐点です。

 

噛み合わせの「バランス」を再構築する

東京の根管治療専門外来、笠原デンタルオフィスで、銀歯は今は使われてない?残っている銀歯は変えなくてはだめ?取り替える見極め基準について解説

銀歯とセラミックでは、素材の硬さ(摩耗のしやすさ)が異なります。
硬すぎる素材を無造作に入れてしまうと、反対側の健康な歯を傷めたり、顎関節症を引き起こしたりすることがあります。

解決策

単に「元の銀歯と同じ形」にするのではなく、現在のお口全体のバランスを見て、精密に噛み合わせを調整する技術が求められます。

 

専門医が伝えたい「銀歯との付き合い方」

東京の根管治療専門外来、笠原デンタルオフィスで、銀歯は今は使われてない?残っている銀歯は変えなくてはだめ?取り替える見極め基準について解説

銀歯は、日本の歯科医療を支えてきた立役者です。決して「悪」ではありません。
大切なのは、「その銀歯が今、あなたの健康を守っているか、それとも足を引っ張っているか」を正しく見極めることです。

私たちは、単に「白い歯を売りたい」わけではありません。
マイクロスコープで銀歯の縁をチェックし、まだ使えるなら「大切に使いましょう」と言いますし、中で虫歯が広がっているなら「手遅れになる前に変えましょう」と提案します。

銀歯を取り替えるかどうかは、あなたの人生の優先順位や、お口のリスク、そして将来への投資の考え方次第です。
笠原デンタルオフィスでは、客観的なデータと精密な診査に基づき、あなたにとって「今、本当に必要な選択」をアドバイスします。

 


監修医・医院情報

監修医:笠原明人(日本顕微鏡歯科学会指導医/笠原デンタルオフィス 副院長)

資格及び所属団体

PERF-J(中川寛一主宰)インストラクター
日本顕微鏡歯科学会認定医第66号 指導医第34号(江戸川区取得第一号)、代議員、理事
日本歯内療法学会会員
日本口腔顔面痛学会会員
日本口腔インプラント学会会員
歯科医師臨床研修指導医
日本歯科医師会会員・東京都歯科医師会会員・江戸川区歯科医師会会員
日本歯科保存学会会員
歯学博士


笠原デンタルオフィス・精密根管治療専門サイト:https://endodontics-tokyo.com/

〒133-0056 東京都江戸川区南小岩7-30-12 東名観光ビル 2F
電話:03-6458-0640

電車でお越しの方:
JR総武線小岩駅 徒歩3分

お車・自転車でお越しの方:
近隣の有料駐車場をご利用ください。(駐輪場あり)

PAGE TOP