歯茎のデキモノ(サイナストラクト)は潰したら治る?自然に治る?サイナストラクトの危険性と正しい対処法

      2025/11/16

「ニキビみたい」「勝手に潰れた」…それが危険なサインかも

東京(江戸川区小岩)の根管治療専門外来|笠原デンタルオフィスで、歯茎のデキモノ(サイナストラクト)は潰したら治る?自然に治る?サイナストラクトの危険性と正しい対処法について解説

東京都江戸川区小岩で根管治療専門外来を開設しております、笠原デンタルオフィスです。

患者様からよくご相談いただく症状の一つに、「歯茎にニキビのようなデキモノができた」というものがあります。
見た目が似ているため、「口内炎かな?」「そのうち治るだろう」「自分で潰したら膿が出てスッキリした」と感じる方も少なくありません。

しかし、その歯茎のデキモノは、単なる口内炎やニキビではありません。
歯科医療の世界ではこれを「サイナストラクト」と呼び、歯の根の先に溜まった「膿(感染源)」が、骨を溶かして歯茎に開けた「出口」である可能性が極めて高い、非常に危険なサインなのです。

「サイナストラクトを潰したら治るのか?」
「放置したら自然に治るのか?」

今、歯茎のデキモノに悩んでいる方、以前治療した歯の近くに違和感がある方は、この記事を最後までお読みいただき、正しい知識と対処法を身につけてください。

 

歯茎のデキモノ(サイナストラクト)とは何か?その正体とは

東京(江戸川区小岩)の根管治療専門外来|笠原デンタルオフィスで、歯茎のデキモノ(サイナストラクト)は潰したら治る?自然に治る?サイナストラクトの危険性と正しい対処法について解説

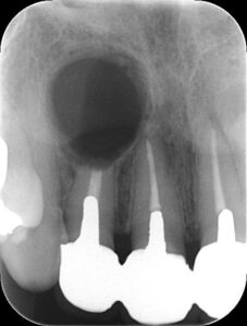
サイナストラクト(瘻孔:ろうこう)とは、歯の根の先に慢性的に溜まった膿が、行き場を失って骨を溶かし、最終的に歯茎の表面に開けた「膿の排出路(トンネル)」です。

サイナストラクトの根本原因は、歯の内部、すなわち根管内の細菌感染です。
過去の虫歯治療や外傷などにより、歯の神経(歯髄)が死んでしまい、その根管内で細菌が増殖し、根の先の骨の中で膿の袋(根尖病変)を作ります。

慢性的な感染の場合、強い痛みを感じないことがほとんどです。
「炎症は起きているけれども膿がサイナストラクトから排出されることで、内圧が下がり、痛みが緩和されている」という状態です。
痛みがないからといって、治っているわけではないのがサイナストラクトの恐ろしい点です。

 

放置するとどうなる?サイナストラクトの危険性

東京(江戸川区小岩)の根管治療専門外来|笠原デンタルオフィスで、歯茎のデキモノ(サイナストラクト)は潰したら治る?自然に治る?サイナストラクトの危険性と正しい対処法について解説

サイナストラクトを放置したり、自己流の対処をしたりすることは、以下のような深刻な事態を招きます。


感染の慢性化と拡大
膿の排出が続く限り、根管内の細菌は生き続けています。
この感染は徐々に骨を溶かし、病巣が拡大します。

抜歯のリスクの増大
病巣が大きくなると、その歯を支える骨(歯槽骨)が大量に失われ、歯がグラつき始めます。
最終的には、歯を残すことが不可能になり、「抜歯」という最悪の結末を招くことになります。

隣の歯への影響
病巣が広がることで、隣接する健康な歯の根にも影響を及ぼし、感染が波及する可能性があります。

全身への影響
口の中の慢性的な感染源は、血液に乗って全身に広がり、心臓病、糖尿病、関節炎など、全身疾患の悪化に関与する可能性も指摘されています(病巣感染)。

 

「潰したら治る?」「自然に治る?」「抗生物質で治せる?」の疑問への回答

【誤解】サイナストラクトは潰したら治るのか?

東京(江戸川区小岩)の根管治療専門外来|笠原デンタルオフィスで、歯茎のデキモノ(サイナストラクト)は潰したら治る?自然に治る?サイナストラクトの危険性と正しい対処法について解説

結論:サイナストラクトを潰しても、根本的には治りません。

サイナストラクトは、あくまで「膿の出口」に過ぎません。
自分で潰したり、自然に破れたりした際、一時的に膿が排出されることで「デキモノがなくなった」「痛みが引いた」と感じるかもしれませんが、これは一時的な症状の緩和に過ぎません。

サイナストラクトが閉じても、根管内の細菌という根本原因は全く取り除かれていません。
膿は再び骨の中で溜まり続け、別の場所にサイナストラクトを作ったり、腫れとして現れたりする「再発」を繰り返します。

また、デキモノを指や舌で触る、無理に潰そうとすることは、かえって細菌を外部から押し込んだり、炎症を悪化させたりするリスクがあります。

 

【誤解】サイナストラクトは放置したら自然に治るのか?

結論:サイナストラクトが自然に治ることは、99%ありません。

歯の根の先の感染は、自力で治癒する病気ではありません。
なぜなら、根管内部は血液が循環しない閉鎖空間であり、外部から抗体が届きにくいからです。

サイナストラクトを治すただ一つの方法は、原因である根管内の細菌を完全に除去し、再感染しないように密閉することです。
つまり、精密な根管治療が不可欠なのです。

 

【重要な知識】サイナストラクトは抗生物質で治せる?

東京(江戸川区小岩)の根管治療専門外来|笠原デンタルオフィスで、歯茎のデキモノ(サイナストラクト)は潰したら治る?自然に治る?サイナストラクトの危険性と正しい対処法について解説

結論:抗生物質(化膿止め)は一時的な症状を抑えるだけで、サイナストラクトを根本的に治すことはできません。

抗生物質は、体内の増殖している細菌を一時的に抑え込み、急性の炎症や腫れを鎮める効果があります。
サイナストラクトができていても、急に腫れが強くなったり、強い痛みが出たりした場合には、抗生物質が処方されることがあります。
しかし、これはあくまで対症療法であり、以下の理由から根本的な解決にはなりません。

根管内に存在する細菌の多くは、「バイオフィルム」という強力なバリアを形成しています。
抗生物質の成分は、この硬いバイオフィルムの内部まで浸透することが非常に困難です。
さらに、根管内は、感染が進むと神経や血管が死滅し、血流がありません。
そのため、経口で服用した抗生物質は、感染源である根管内部にはほぼ届かないのです。

安易に抗生物質を使い続けることは、その薬が効かない耐性菌を生み出すリスクを高めるだけであり、本当に必要な時に薬が効かなくなるという深刻な問題につながります。

サイナストラクトを根本的に治す唯一の方法は、ラバーダム防湿などの徹底した衛生管理のもと、マイクロスコープで根管内を拡大し、ニッケルチタンファイルやPiezo Flowなどの専門器具を用いて、機械的に細菌と感染物質を掻き出し、物理的に除去することです。
抗生物質は、痛みが激しい場合や、腫れが顔にまで及ぶような急性症状を抑えるための補助的な手段であり、根管治療そのものを代替するものではありません。

 

【例外】一時的な歯茎の腫れの可能性

稀に、親知らずの周りの炎症や、歯周病の進行によって一時的にサイナストラクトに似た腫れができることはあります。
しかし、歯の根尖病変が原因である可能性が最も高いため、自己判断せず、必ず専門医による正確な診査診断を受けることが重要です。

 

サイナストラクトを根本的に治す、笠原デンタルオフィスの「精密根管治療」

サイナストラクトが示す根管内の感染を根本的に解決するためには、一般歯科では難しい「精密根管治療」が必要です。
当院では、日本顕微鏡歯科学会認定指導医の院長が、以下の「つよみ」を駆使して治療に臨みます。

 

正確な診査診断:原因の特定が成功の鍵

サイナストラクト治療の成功は、感染源を正確に特定できるか否かにかかっています。


歯科用CBCT(X線撮影装置)による3次元解析
従来の平面的なレントゲンでは、サイナストラクトの原因となる病巣の広がりや、根管の複雑な構造を把握することは困難でした。
当院では歯科用CBCTを使用し、病巣の大きさ、骨の破壊具合、サイナストラクトがどこから伸びているのかを立体的に確認します。
これにより、再治療が必要な根管をピンポイントで特定できます。

わかりやすい説明
CBCT画像をお見せしながら、「なぜサイナストラクトができたのか」「どうすれば治るのか」をわかりやすい説明で丁寧にお伝えします。

 

治療の精度を高める「成功率を上げるための設備・器具」

東京(江戸川区小岩)の根管治療専門外来|笠原デンタルオフィスで、歯茎のデキモノ(サイナストラクト)は潰したら治る?自然に治る?サイナストラクトの危険性と正しい対処法について解説

感染源を徹底的に除去するために、肉眼では不可能な精度を追求します。


歯科用顕微鏡(マイクロスコープ)
サイナストラクトの原因の多くは、複雑な根管内に残された細菌です。
当院では、肉眼の最大20倍まで拡大できるマイクロスコープを常時使用し、根管の内部構造、側枝(枝分かれ)、そして過去の治療で残された異物まで、目で見て確認しながら感染源を除去します。

ラバーダム防湿の徹底
唾液に含まれる細菌が、きれいにした根管内に再侵入することを防ぐため、ラバーダム防湿を徹底します。
これは精密根管治療の絶対条件です。

ニッケルチタンファイルと根管洗浄器具(Piezo Flow)
柔軟性の高いニッケルチタンファイルで複雑な根管を確実に清掃し、さらにPiezo Flowなどの専門的な根管洗浄器具を用いて、超音波の力で、従来の洗浄では届かなかった微細な部分の細菌や汚れを徹底的に洗い流します。

 

もし歯茎のデキモノ(サイナストラクト)を見つけたら

サイナストラクトを見つけた際の、患者様ご自身でできる正しい対処法と、専門医への相談のタイミングを解説します。

 

サイナストラクトを発見した時の正しい行動

絶対に触らない・潰さない:最も重要なことです。
刺激を与えたり、潰そうとしたりすると、かえって症状を悪化させたり、外部の細菌を侵入させたりするリスクがあります。

自己判断しない
「そのうち治るだろう」と楽観視せず、必ず歯科医院を受診してください。
痛みがないからといって、病状が進行していないわけではありません。

清潔を保つ
口腔内全体を丁寧にブラッシングし、清潔を保つことで、他の場所からの細菌の侵入を防ぎます。

食事に注意
デキモノの周りの粘膜を傷つけないよう、硬いものや刺激物は避けましょう。

 

抜歯を回避するために:セカンドオピニオンをご活用ください

特にサイナストラクトが長期間続いている場合や、過去に根管治療を受けた歯に再発した場合、「もう抜歯しかない」と告げられることがあります。
笠原デンタルオフィスでは、このような難治性のサイナストラクトを伴う症例にのセカンドオピニオンも受け付けております。
抜歯が最善の選択肢となるケースも確かに存在しますが、他院で抜歯を宣告された歯でも救える可能性は十分にあります。

「なぜサイナストラクトができてしまったのか」という根本原因を、歯科用CBCTで明確にします。

最も成功率の高い治療法、そして抜歯を回避するための最善策をご提示します。


「デキモノを潰したら治る」という誤解を捨て、まずはご相談ください。
大切な歯を守るために、最後の最後まで可能性を追求しましょう。

 


PAGE TOP